【適用場景】
重癥監護室、傳染病病房、骨科、病房
【臨床應用與優勢】
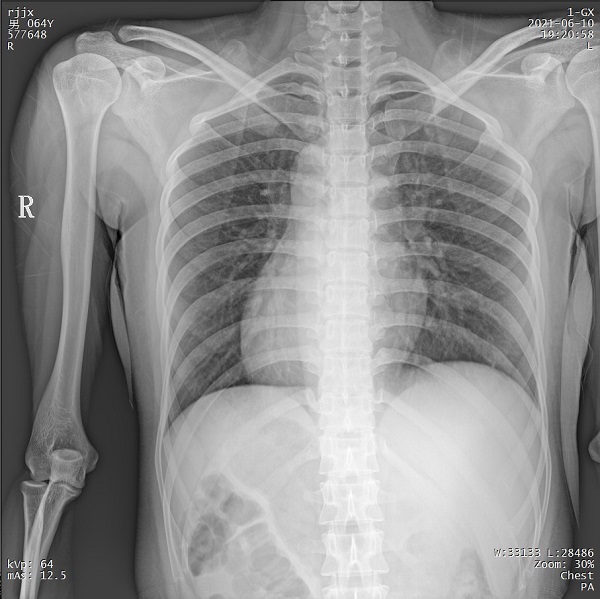
一、肥胖患者、組織較厚部位清晰成像
管電流大小與設備輸出X射線的能力相關,管電流越大,設備輸出的射線量越充沛。PLX5500的最大管電流達到了710mA,輸出的射線能夠滿足各體型患者的拍攝需求,即便是體重達上百公斤的患者,也能夠獲得清晰的圖像。
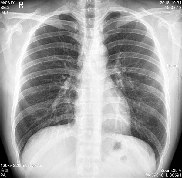
二、1ms 短時曝光 定格心肺運動瞬間影像
PLX5500能夠在最短1ms的曝光時間內輸出足量的X射線,獲取清晰圖像。特別適用于拍攝肺炎、塵肺病、肺結核等難以憋氣的患者,避免了因患者肺部呼吸運動而產生的運動偽影的影響,瞬間定格清晰圖像,以供醫生精確診斷。
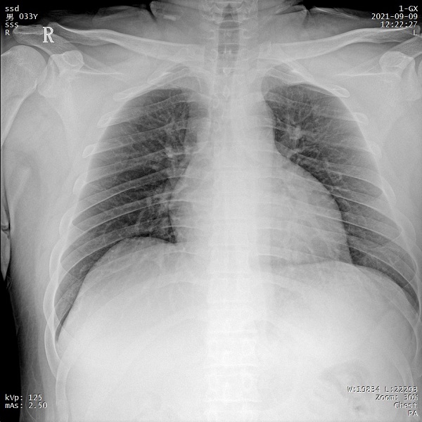
三、支持高千伏攝影 肺部紋理更有層次
PLX5500的最大可調千伏達到150kV,在達到一定高電壓后,與骨骼相重疊的軟組織或骨骼本身的細小結構及含氣的管腔等,均可清晰顯示。
四、創傷患者可通過床旁攝影獲取高質量圖像
PLX5500憑借充沛的射線輸出,能夠在床旁對各體型創傷患者的各部位進行拍攝,輸出清晰圖像,輔助醫生進行精確診斷。患者無需帶傷前往放射科拍攝,降低二次傷害風險。
五、小巧靈動 擺位輕松
PLX5500采用雙輪雙驅電動助力系統,推行輕松,可實現零半徑轉彎,便于在狹小空間里移動。雙電機與精巧的機械設計結合,女性操作者也能輕松單手推行。此外,充沛的動力儲配使得PLX5500幾乎可以輕松跨越醫院內的任何坡、坎兒,保證設備在院內暢行無阻。
注冊證編號:蘇械注準20222061380
廣告批準文號:蘇械廣審(文)第270622-18932號







