【移動DR臨床應用】
1、重癥監護室。重癥監護室的患者往往離不開生命特征監測儀器和其他生命輔助設備,床旁X光機PLX M5320可以做到機隨人動,為醫護和患者提供便利。
2、傳染病病房。面對突發疫情,移動DR機以其高度的靈活性、環境適應性極大的滿足了疫情防控中隔離病房對病人病情診斷的需要。
3、骨科。操作方便、工作效率高,可移動dr機-PLX M5320可滿足人體的頭部、四肢、胸腔、脊柱、腰椎、腹部等全身各部位的數字化攝影的工作需求。
4、病房。DR移動床機身小巧,移動靈活,可自如出入病房,為醫護和患者提供便利。
【性能特點】
1.肥胖患者、組織較厚部位清晰成像
管電流大小與設備輸出X射線的能力相關,管電流越大,設備輸出的射線量越充沛。大功率移動dr設備PLX M5320的最大管電流達到了500mA,輸出的射線能夠滿足各體型患者的拍攝需求,即便是體重達上百公斤的患者,也能夠獲得清晰的圖像。
2.1ms短時曝光 定格心肺運動瞬間影像
PLX M5320能夠在最短1ms的曝光時間內輸出足量的X射線,獲取清晰圖像。特別適用于拍攝肺炎、塵肺病、肺結核等難以憋氣的患者,避免了因患者肺部呼吸運動而產生的運動偽影的影響,瞬間定格清晰圖像,以供醫生精確診斷。
3.支持高千伏攝影 肺部紋理更有層次
大功率移動dr機PLX M5320的最大可調千伏達到150kV,在達到一定的高電壓后,與骨骼相重疊的軟組織或骨骼本身的細小結構及含氣的管腔等,均可清晰顯示。
4.采用新型儲能技術
新型儲能技術安全性更高,充放電過程無化學反應,使用時更穩定更安全,杜絕安全隱患的同時,也不會因貯存過久而損壞或無法開機,應急啟用可靠性高。
設備僅需十幾分鐘即可充滿電,可以做到快速出動,在第一時間馳援如隔離病房、方艙醫院、野戰醫院等電源緊缺場所,挽救生命,分秒必爭。
5.高品質數字化影像鏈
移動DR機PLX M5320采用大功率50kW球管可穩定輸出高品質X射線,保證優質的圖像品質,即便是腰椎側位也能得到清晰的影像,圖像質量媲美固定DR。
PLX M5320采用17×17英寸的大尺寸無線平板探測器,視野寬闊,擺位輕松。16比特灰階度,穩定輸出高分辨率、高解析度的圖像。
6.輻射劑量小 呵護醫患健康
PLX M5320采用雙曝光設計,可使用曝光遙控器實現隔室操作,有效地做到對輻射的距離防護,臨床應用方便自如,極大地保護了醫護人員免受電離輻射的傷害。
7.小巧靈動 擺位輕松
移動DR設備PLX M5320采用雙輪雙驅電動助力驅動系統,推行輕松,可實現零半徑轉彎,便于在狹小空間里移動。雙電機與精巧的機械設計結合,女性操作者也能輕松單手推行。
橫臂可電動升降,伸縮臂可實現0-500mm伸縮,焦點距立柱最大距離可達1250mm,臨床擺位不僅輕松省力,也更加便捷高效。
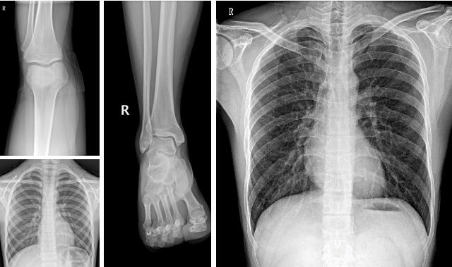
【PLX M5320移動DR臨床圖像】
注冊證編號:蘇械注準20212060910
廣告批準文號:蘇械廣審(文)第260525-18915號








