【技術特點】
一、新一代動態平板探測器,一機多用實現動靜態采集
只需一塊動態平板探測器,即可高效輕松實現攝影、透視和造影功能,幾乎可以滿足醫院全科室的臨床檢查需求。
1)大視野無遺漏
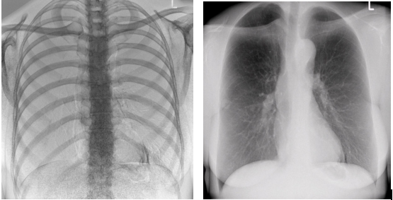
17*17英寸的高清像素動態平板探測器,能對胸部、腹部等部位實現大范圍全覆蓋,動靜態之間無感切換。透視檢查無須對患者重新定位便可觀察到足夠大的人體器官組織,避免漏診誤診。更好地減少了曝光時間,也減少了病人的輻射劑量。
大尺寸動態平板技術,覆蓋檢查面積范圍廣,輕松實現胃十二指腸等大面積造影,無需移動即可觀看整個動態過程,避免噪點對圖像的影響。
2)圖像質量無畸變,無失真
高效動態平板技術,圖像不會有幾何畸變,提供高分辨率和精確的圖像,為臨床診斷提供精準依據。
3)高幀速
最高幀速可達30幀/秒,獲得與靜態采集相媲美的高清流暢影像;
采用先進的脈沖透視技術,呈現更優圖像空間分辨率、低對比度分辨率、灰階范圍,為精準診斷提供可靠依據。
4)透視+高清點片
在可視過程或回放過程中,如發現疑似病灶,可進行毫秒級高清點片,隨時抓取單幀圖像,精準捕抓病灶,便于醫生進一步診斷分析,減少誤診,并有助于快速編制報告。
二、配置2塊可插拔高密濾線柵、專距專用
按照1米和1.8米兩個標準體位配備兩塊高密濾線柵,過濾掉更多的散射線,專距專用,使圖像效果更好。
針對低劑量部位檢查時,可以移除濾線柵,更有效呵護醫患健康。
三、獨特的球管立柱可傾斜擺動,實現傾斜攝影
球管立柱可傾斜擺動,滿足臨床特殊部位攝影需求,如:髕骨軸位、骶尾椎等部位檢查。
四、DAP輻射劑量監控系統,呵護醫患健康
DAP是輻射劑量學中應用最廣、最重要的輻射測量傳感器之一,常作為X射線機質量控制指標。
歐美國家對于DAP功能都是作為數字化產品的標配,動態平板DRF廠家普利德以國際一流標準作為標桿,主動為國產胃腸機DRF品牌增加DAP功能,直觀展示和監控劑量數據,帶給醫生和患者更多的保護。








